Dublin Core
Title
Anolis sp.
anole / anolis ou anole ou zandoli
whole mount (EN) / montage entier (FR)
Description
Kingdom (EN) / Règne (FR) : Animalia / Animaux
Phylum (EN) / Embranchement (FR) : Chordata / Chordés
Class (EN) / Classe (FR) : Reptilia / Reptiles
Order (EN) / Ordre (FR) : Squamata / Squamates
Species (EN) / Espèces (FR) : Anolis sp.
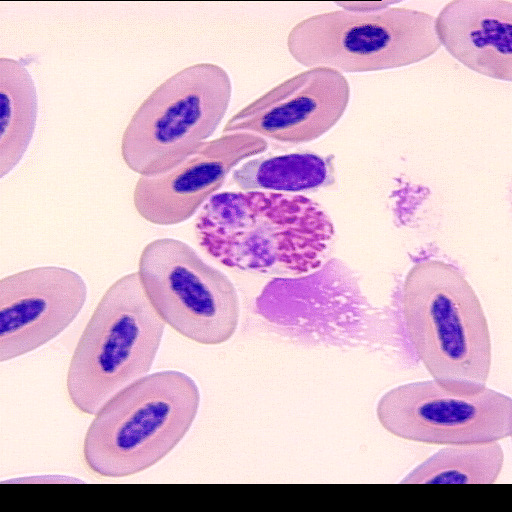
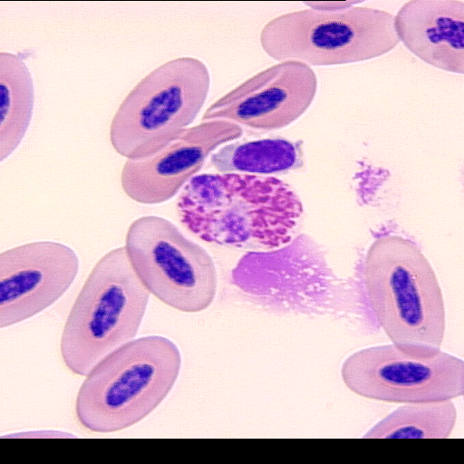
(EN) : One thrombocyte and one eosinophil (Whole mount, Wright's x100, Slide B5.6c1-4 G3): See the rod-shaped granules in the cytoplasm of eosinophil.
(FR) : Un thrombocyte et un éosinophile (Montage entier, Wright x100, Lame B5.6c1-4 G3): Noter les granules en forme de bâtonnet dans le cytoplasme de l’éosinophile.
Format
photography (EN) / photographie (FR)
gif
Date
Image(s) : 1995-08-04
Source
Harris, Richard J.
Identifier
b5-6c14m.gif
Creator
Image(s) : Harris, Richard J.
Rights
Attribution: Anolis sp., https://omeka.uottawa.ca/biodidac/items/show/2428, Richard J. Harris, BIODIDAC, CC BY-NC 4.0, https://creativecommons.org/licenses/by-nc/4.0/

