Dublin Core
Title
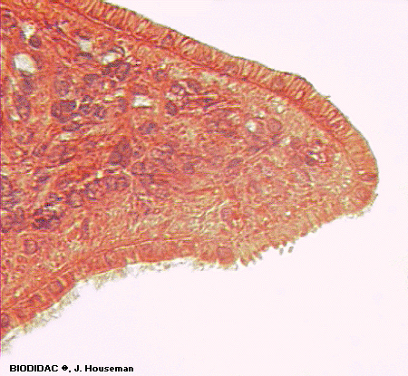
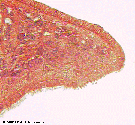
Dugesia sp.
planarian or triclad / planaire ou triclade ou turbellarié triclade
cross section (EN) / coupe transversale (FR)
Description
Kingdom (EN) / Règne (FR) : Animalia / Animaux
Phylum (EN) / Embranchement (FR) : Platyhelminthes or Flatworms / Platyhelminthes ou Plathelminthes ou Vers plats ou Platodes
Class (EN) / Classe (FR) : Turbellaria / Turbellariés
Order (EN) / Ordre (FR) : Tricladida / Tricladides
Species (EN) / Espèces (FR) : Dugesia sp.
(EN) : Detail of the lateral margin of the body: Adhesive gland on the ventral surface and the differentiation of the cilia between the dorsal and ventral surfaces.
(FR) : Détail de la marge latérale du corps: Glande adhésive sur la surface ventrale et la différence entre la ciliature des surfaces dorsales et ventrales.
Format
photography (EN) / photographie (FR)
jpeg
Date
Image(s) : 1995-08-15
Source
Houseman, Jon
Identifier
turb022p.jpeg
Creator
Image(s) : Houseman, Jon
Rights
BIODIDAC ©, J. Houseman
Attribution: Dugesia sp., https://omeka.uottawa.ca/biodidac/items/show/3717, Jon Houseman, BIODIDAC, CC BY-NC 4.0, https://creativecommons.org/licenses/by-nc/4.0/

