Dublin Core
Title
monkey / singe
cross section (EN) / coupe transversale (FR)
Description
Kingdom (EN) / Règne (FR) : Animalia / Animaux
Phylum (EN) / Embranchement (FR) : Chordata / Chordés
Class (EN) / Classe (FR) : Mammalia / Mammifères
Order (EN) / Ordre (FR) : Primates / Primates
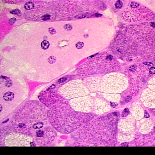
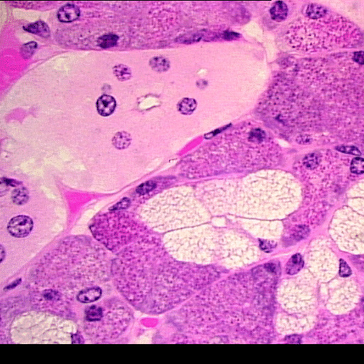
(EN) : Close-up view of a cross section of a monkey submaxillary gland (Hematoxylin and eosin stain (H&E), x100, Slide C141.8f - 7 C8.2c): Mucous alveoli are surmounted by demilunes of serous cells (acinar cells) + Note the large duct in upper left corner.
(FR) : Vue rapprochée d'une coupe transversale de la glande sous-maxillaire d'un singe (coloration à l'hématoxyline et à l'éosine (H&E), x100, Lame C141.8f-7 C8.2c) : Acini muqueux sont surmontés de demi-lunes de cellules séreuses (cellules acineuses) + Notez le gros canal au coin en haut à gauche.
Format
photography (EN) / photographie (FR)
gif
Date
Image(s) : 1995-08-04
Source
Harris, Richard J.
Identifier
c1418f7.gif
Rights
Attribution: monkey / singe, https://omeka.uottawa.ca/biodidac/items/show/5154, BIODIDAC, CC BY-NC 4.0, https://creativecommons.org/licenses/by-nc/4.0/

