Dublin Core
Titre
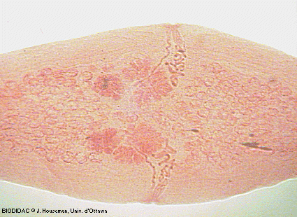
Dipylidium caninum
flea tapeworm or double-pored tapeworm or cucumber tapeworm / ténia des puces
whole mount (EN) / montage entier (FR)
Description
Kingdom (EN) / Règne (FR) : Animalia / Animaux
Phylum (EN) / Embranchement (FR) : Platyhelminthes or Flatworms / Platyhelminthes ou Plathelminthes ou Vers plats ou Platodes
Class (EN) / Classe (FR) : Cestoda or Cestoidea / Cestodes ou Cestoïdes
Order (EN) / Ordre (FR) : Cyclophyllidea / Cyclophyllidés
Species (EN) / Espèces (FR) : Dipylidium caninum
(EN) : Mature proglottid found in the strobila of an adult showing the male and female reproductive structures.
(FR) : Proglottis mature trouvé dans le strobile d'un adulte montrant les structures reproductrices mâle et femelle.
Format
photography (EN) / photographie (FR)
gif
Date
Image(s) : 1995-06-30
Source
Houseman, Jon
Identifiant
cest001p.gif
Créateur
Image(s) : Houseman, Jon
Droits
BIODIDAC © J. Houseman, Univ. d'Ottawa
Attribution: Dipylidium caninum, https://omeka.uottawa.ca/biodidac/items/show/5815, Jon Houseman, BIODIDAC, CC BY-NC 4.0, https://creativecommons.org/licenses/by-nc/4.0/

