Dublin Core
Title
monkey / singe
longitudinal section (EN) / coupe longitudinale (FR)
Description
Kingdom (EN) / Règne (FR) : Animalia / Animaux
Phylum (EN) / Embranchement (FR) : Chordata / Chordés
Class (EN) / Classe (FR) : Mammalia / Mammifères
Order (EN) / Ordre (FR) : Primates / Primates
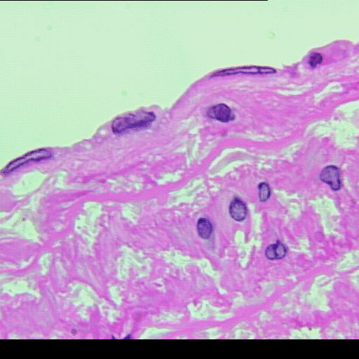
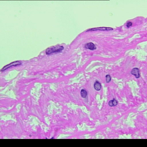
(EN) : Semi-thin longitudinal section of a monkey aorta (Hematoxylin and eosin stain (H&E), x100, Slide J11.8f 22 C4): Simple squamous endothelial cells line all blood vessels, including this section of the aorta.
(FR) : Coupe longitudinale semi-mince de l'aorte d'un singe (coloration à l'hématoxyline et à l'éosine (H&E), x100, Lame J11.8f 22 C4) : Cellules endothéliales simples pavimenteuses tapissent tous les vaisseaux sanguins, y compris cette section de l'aorte.
Format
photography (EN) / photographie (FR)
jpeg
Date
Image(s) : 1995-08-04
Source
Harris, Richard J.
Identifier
j11-8f22.jpeg
Rights
Attribution: monkey / singe, https://omeka.uottawa.ca/biodidac/items/show/6498, BIODIDAC, CC BY-NC 4.0, https://creativecommons.org/licenses/by-nc/4.0/

