Dublin Core
Title
rabbit / lapin
whole mount (EN) / montage entier (FR)
Description
Kingdom (EN) / Règne (FR) : Animalia / Animaux
Phylum (EN) / Embranchement (FR) : Chordata / Chordés
Class (EN) / Classe (FR) : Mammalia / Mammifères
Order (EN) / Ordre (FR) : Lagomorpha / Lagomorphes
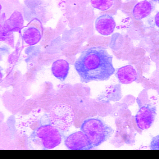
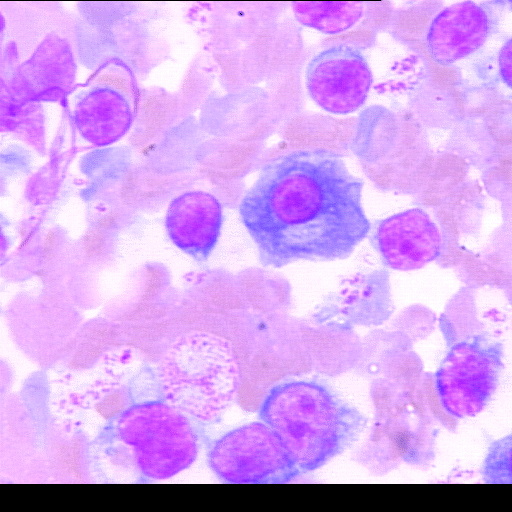
(EN) : Giemsa-stained imprint of an adult rabbit spleen (100x, Slide 36-167 D4-II1g): Whole-celled plasmocytes, basophilic cytoplasm, eccentric nucleus, and juxtanuclear apparatus are visible.
(FR) : Empreinte de rate d'un lapin adulte colorée au Giemsa (100x, Lame 36-167 D4-II1g) : Plasmocytes entiers, cytoplasme basophile, noyau excentrique et appareil juxtanucléaire sont visibles.
Format
photography (EN) / photographie (FR)
jpeg
Date
Image(s) : 1995-08-04
Source
Harris, Richard J.
Identifier
mcm18-1.jpeg
Rights
Attribution: rabbit / lapin, https://omeka.uottawa.ca/biodidac/items/show/6571, BIODIDAC, CC BY-NC 4.0, https://creativecommons.org/licenses/by-nc/4.0/

