Dublin Core
Title
rabbit / lapin
cross section (EN) / coupe transversale (FR)
Description
Kingdom (EN) / Règne (FR) : Animalia / Animaux
Phylum (EN) / Embranchement (FR) : Chordata / Chordés
Class (EN) / Classe (FR) : Mammalia / Mammifères
Order (EN) / Ordre (FR) : Lagomorpha / Lagomorphes
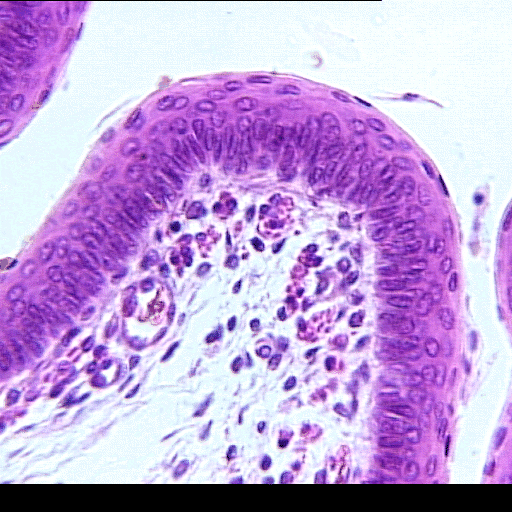
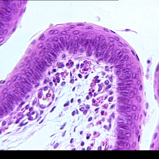
(EN) : Cross section of a rabbit oesophagus (Hematoxylin and eosin stain (H&E), x40, Slide RCB-20 K6.1): Portion of mucosa and submucosa layers is shown.
(FR) : Coupe transversale d'un œsophage de lapin (coloration à l'hématoxyline et à l'éosine (H&E), x40, Lame RBC-20 K6.1) : Une partie des couches de la muqueuse et de la sous-muqueuse est représentée.
Format
photography (EN) / photographie (FR)
jpeg
Date
Image(s) : 1995-08-04
Source
Harris, Richard J.
Identifier
rcb-20b.jpeg
Rights
Attribution: rabbit / lapin, https://omeka.uottawa.ca/biodidac/items/show/6837, BIODIDAC, CC BY-NC 4.0, https://creativecommons.org/licenses/by-nc/4.0/

