Dublin Core
Title
Sus scrofa domesticus or/ou Sus domesticus
pig or swine or hog or domestic pig / porc ou cochon ou cochon domestique
cross section (EN) / coupe transversale (FR)
Description
Kingdom (EN) / Règne (FR) : Animalia / Animaux
Phylum (EN) / Embranchement (FR) : Chordata / Chordés
Class (EN) / Classe (FR) : Mammalia / Mammifères
Order (EN) / Ordre (FR) : Artiodactyla / Artiodactyles ou Paridigités
Species (EN) / Espèces (FR) : Sus scrofa domesticus or/ou Sus domesticus
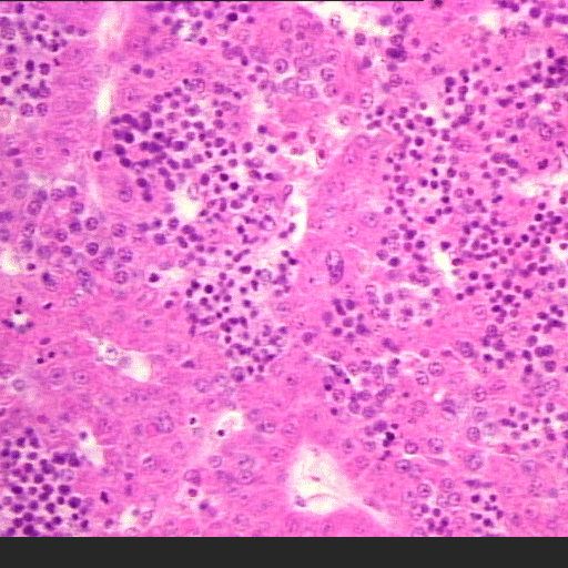
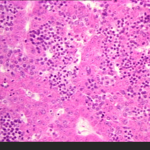
(EN) : Cross section of the liver from a foetal swine (Hematoxylin and eosin stain (H&E), x40, Slide RCB-36 I2).
(FR) : Coupe transversale du foie d'un fœtus de porc (coloration à l'hématoxyline et à l'éosine (H&E), x40, Lame RBC-36 I2).
Format
photography (EN) / photographie (FR)
jpeg
Date
Image(s) : 1995-08-04
Source
Harris, Richard J.
Identifier
rcb-36.jpeg
Rights
Attribution: Sus scrofa domesticus or/ou Sus domesticus, https://omeka.uottawa.ca/biodidac/items/show/6843, BIODIDAC, CC BY-NC 4.0, https://creativecommons.org/licenses/by-nc/4.0/

