Dublin Core
Title
hamster / hamster
whole mount (EN) / montage entier (FR)
Description
Kingdom (EN) / Règne (FR) : Animalia / Animaux
Phylum (EN) / Embranchement (FR) : Chordata / Chordés
Class (EN) / Classe (FR) : Mammalia / Mammifères
Order (EN) / Ordre (FR) : Rodentia / Rodentiens
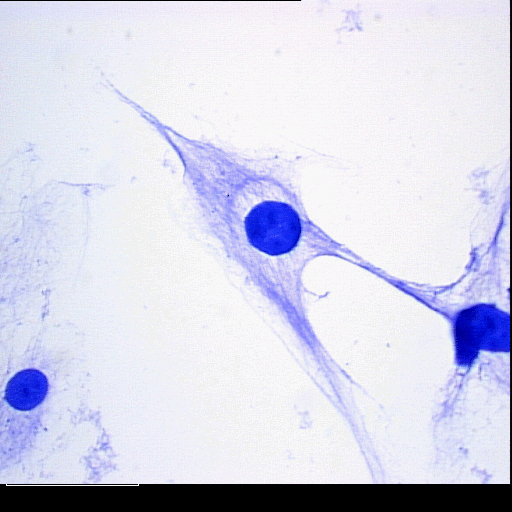
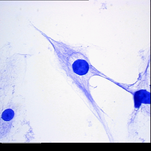
(EN) : Baby hamster kidney (BHK) cell culture (Coomassie Blue, x100-Light microscope, Slide T4-20 A2): 1-day old fibroblast cells showing fibrils.
(FR) : Culture de cellules de rein de bébé hamster (BHK) (Bleu de Coomassie, x100-Microscope optique, Lame T4-20 A2): Cellules de fibroblastes âgées de 1 jour présentant des fibrilles.
Format
photography (EN) / photographie (FR)
jpeg
Date
Image(s) : 1995-08-04
Source
Harris, Richard J.
Identifier
t4-20a.jpeg
Rights
Attribution: hamster / hamster, https://omeka.uottawa.ca/biodidac/items/show/6925, BIODIDAC, CC BY-NC 4.0, https://creativecommons.org/licenses/by-nc/4.0/

