Dublin Core
Titre
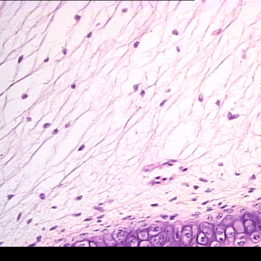
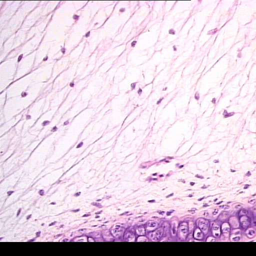
Squalus sp.
spurdog or dogfish / aiguillat ou chien de mer
longitudinal section (EN) / coupe longitudinale (FR)
Description
Kingdom (EN) / Règne (FR) : Animalia / Animaux
Phylum (EN) / Embranchement (FR) : Chordata / Chordés
Class (EN) / Classe (FR) : Elasmobranchii / Élasmobranches
Order (EN) / Ordre (FR) : Squaliformes / Squaliformes
Species (EN) / Espèces (FR) : Squalus sp.
(EN) : Longitudinal section a dogfish head (Hematoxylin and eosin stain (H&E), 40x, 51-24 D9-IV4a): Dense connective tissues (hyaline cartilage). Chondrocytes in their lacunae secrete a "glassy" matrix which separates them one from the other. Active cell division occurs at the periphery of the matrix.
(FR) : Coupe longitudinale d'une tête d'aiguillat (Coloration à l’hématoxyline et à l’éosine (H&E), x40, Lame 51-24 D9-IV4a): Tissu conjonctif dense (cartilage hyalin). Les chondrocytes sécrètent une matrice hyaline qui les séparent les uns des autres. La mitose a seulement lieu à la périphérie de la matrice.
Format
photography (EN) / photographie (FR)
gif
Date
Image(s) : 1995-08-04
Source
Harris, Richard J.
Identifiant
51-24.gif
Droits
Attribution: Squalus sp., https://omeka.uottawa.ca/biodidac/items/show/6996, BIODIDAC, CC BY-NC 4.0, https://creativecommons.org/licenses/by-nc/4.0/

