Dublin Core
Title
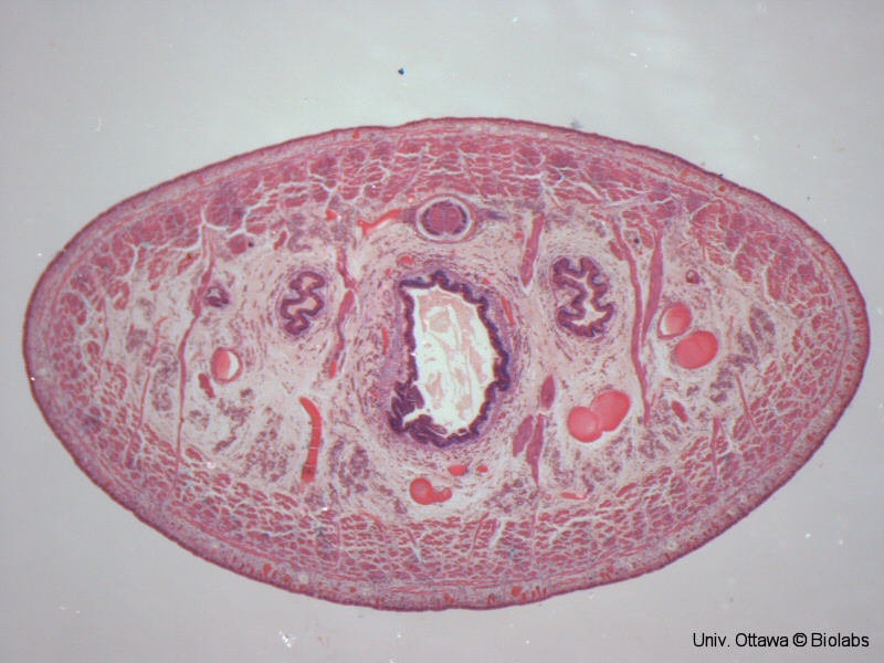
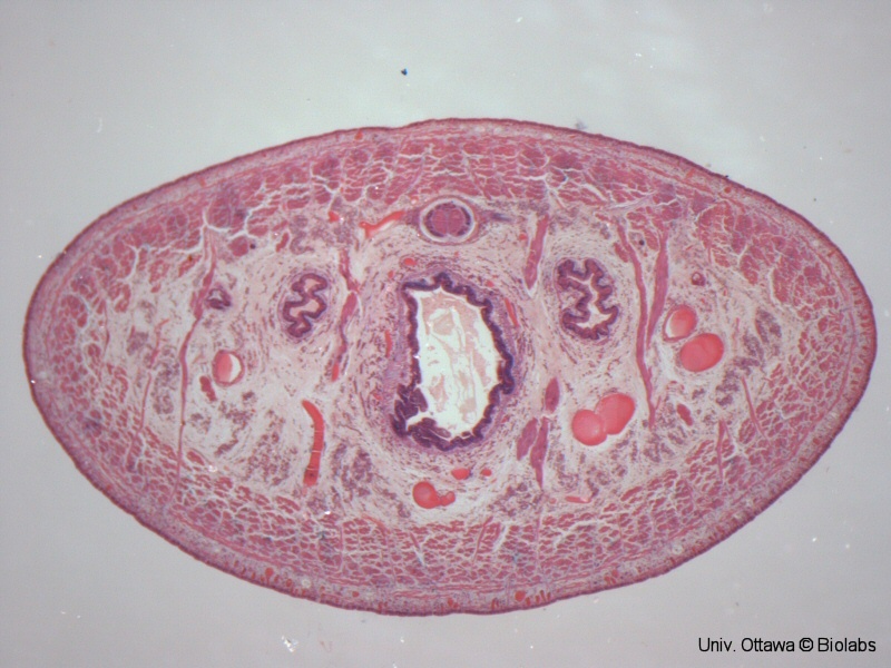
leech (sub-class Hirudinea) / sangsue ou hirudinée ou achète (sous-classe des Hirudinées)
cross section (EN) / coupe transversale (FR)
Description
Kingdom (EN) / Règne (FR) : Animalia / Animaux
Phylum (EN) / Embranchement (FR) : Annelida / Annélides
Class (EN) / Classe (FR) : Clitellata / Clitellates
(EN) : Colored microscopic slide: Main features from a cross-section through the body.
(FR) : Lame microscopique colorée : Principales caractéristiques d'une coupe transversale du corps.
Format
photography (EN) / photographie (FR)
jpg
Date
Image(s) : 2010-09-03
Source
University of Ottawa / Université d'Ottawa, Biolabs
Identifier
olig085p.jpg
Creator
Image(s) : Biolabs
Rights
Univ. Ottawa © Biolabs
Attribution: leech (sub-class Hirudinea) / sangsue ou hirudinée ou achète (sous-classe des Hirudinées), https://omeka.uottawa.ca/biodidac/items/show/7273, Biolabs, BIODIDAC, CC BY-NC 4.0, https://creativecommons.org/licenses/by-nc/4.0/

