Dublin Core
Title
Felis sp.
cat / chat
cross section (EN) / coupe transversale (FR)
Description
Kingdom (EN) / Règne (FR) : Animalia / Animaux
Phylum (EN) / Embranchement (FR) : Chordata / Chordés
Class (EN) / Classe (FR) : Mammalia / Mammifères
Order (EN) / Ordre (FR) : Carnivora / Carnivores
Species (EN) / Espèces (FR) : Felis sp.
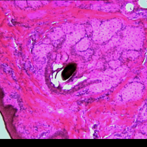
(EN) : Close-up view of a cross section of an eyelid (Hematoxylin and eosin stain (H&E), x40): Accessory structure of the eye.
(FR) : Vue rapprochée d'une coupe transversale d'une paupière (coloration à l'hématoxyline et à l'éosine (H&E), x40): Structure accessoire de l'oeil.
Format
photography (EN) / photographie (FR)
jpeg
Date
Image(s) : 1995-08-04
Source
Harris, Richard J.
Identifier
rcb-52b.jpeg
Rights
Attribution: Felis sp., https://omeka.uottawa.ca/biodidac/items/show/7305, BIODIDAC, CC BY-NC 4.0, https://creativecommons.org/licenses/by-nc/4.0/

