Dublin Core
Title
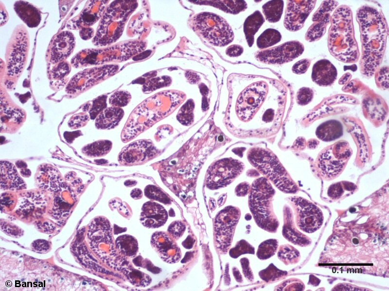
Clonorchis sinensis
Chinese liver fluke or oriental liver fluke / douve de Chine
cross section (EN) / coupe transversale (FR)
Description
Kingdom (EN) / Règne (FR) : Animalia / Animaux
Phylum (EN) / Embranchement (FR) : Platyhelminthes or Flatworms / Platyhelminthes ou Plathelminthes ou Vers plats ou Platodes
Class (EN) / Classe (FR) : Trematoda / Trématodes
Order (EN) / Ordre (FR) : Plagiorchiida / Plagiorchiidés
Species (EN) / Espèces (FR) : Clonorchis sinensis
(EN) : Histopathological section (Hematoxylin-eosin staining) of the bile duct from a host showing infection by the liver fluke.
(FR) : Coupe histopathologique (coloration à l'hématoxyline-éosine) du canal biliaire d'un hôte présentant une infection par la douve du foie.
Format
photography (EN) / photographie (FR)
jpg
Date
Image(s) : 2005-12-14
Source
Bansal
Identifier
trem069p.jpg
Creator
Image(s) : Bansal
Rights
© Bansal
Attribution: Clonorchis sinensis, https://omeka.uottawa.ca/biodidac/items/show/7376, Bansal, BIODIDAC, CC BY-NC 4.0, https://creativecommons.org/licenses/by-nc/4.0/

